Augusta Victoria Hospital in a notable step in Cancer Care in Palestine

Augusta Victoria Hospital in a notable step in Cancer Care in Palestine

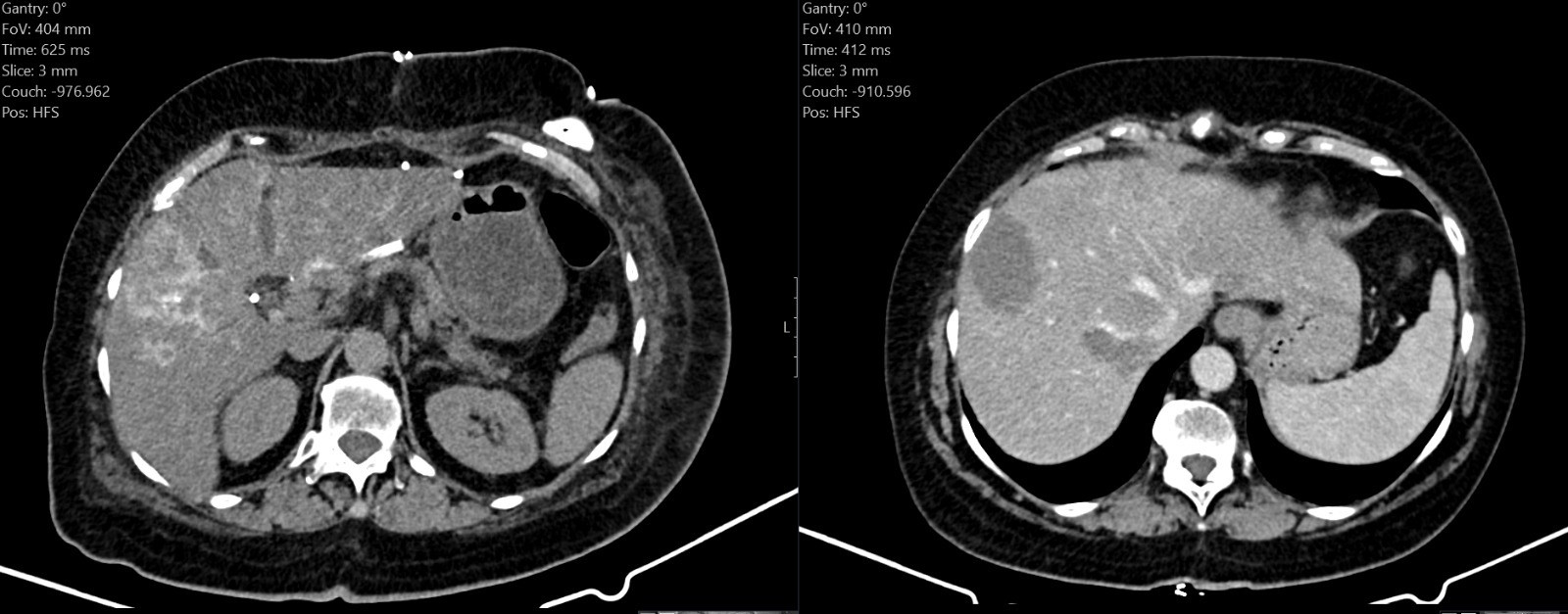
In a notable step in Cancer Care in Palestine, the Surgical Department at Augusta Victoria Hospital has introduced a new technique for treating metastatic liver tumors that are inoperable, enabling direct delivery of chemotherapy to the tumor.

Dr. Marwan Abu Farah and Dr. Mohammed Adele, surgeons at Augusta Victoria Hospital, emphasized, "In cases where colon cancer has metastasized to the liver, this technique, which delivers treatment directly to the tumor, may enhance its response rate and thus the possibility of surgical removal."

Furthermore, Dr. Yousef Hamamreh, Director of the Oncology Center, added, "This step expands our capabilities and options in fighting the disease, providing greater opportunities for our patients."

This initiative underscores the hospital's continued commitment to introducing cutting-edge treatments for cancer patients in Palestine and in alignment in treating cases nationally.